Arcata completa
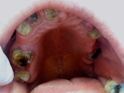
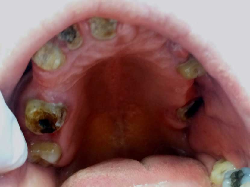
Il paziente è arrivato alla nostra attenzione perchè un precedente lavoro superiore fisso, fatto molti anni prima, si "scementava" continuamente.
La situazione era quella rappresentata in foto.
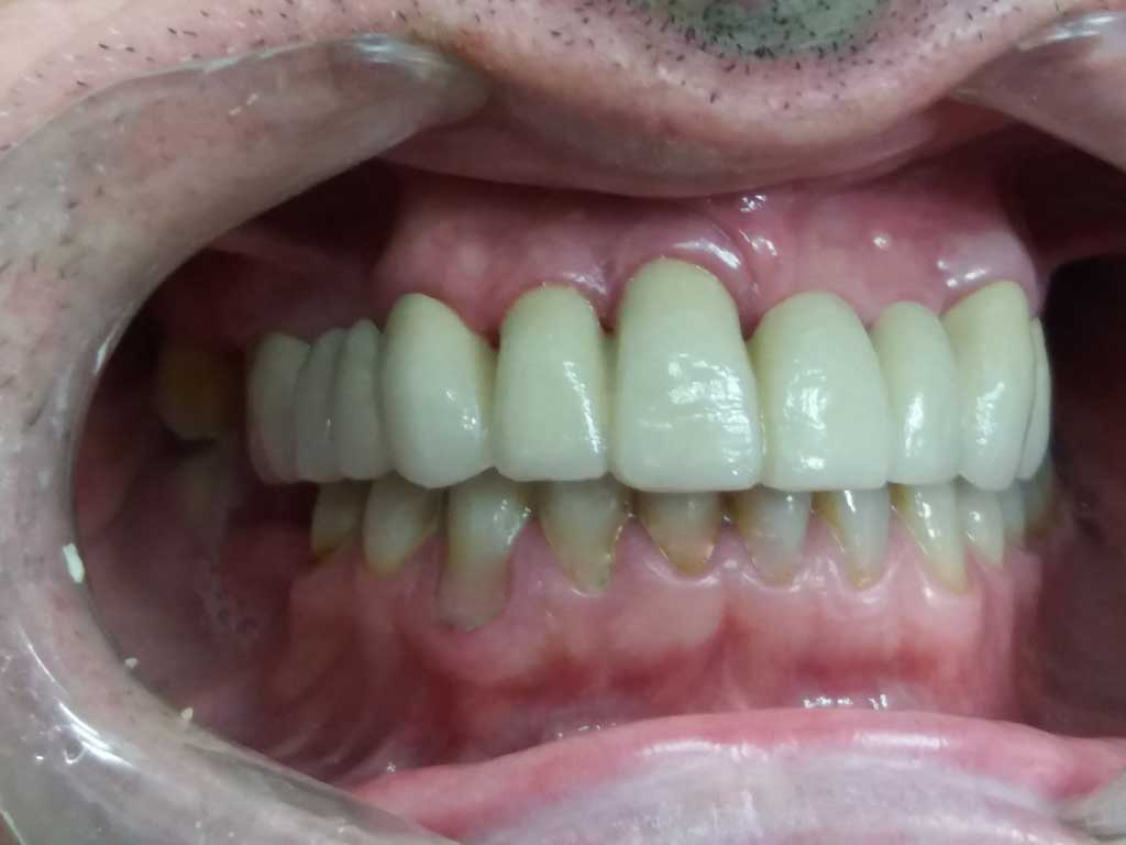
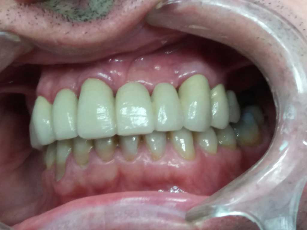
PRIMA
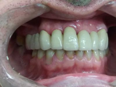
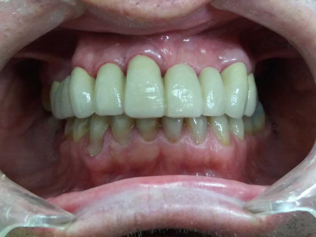
Sono stati svolti tutti i trattamenti per salvare i denti: nessuna estrazione infatti si è resa necessaria.
Durante il periodo di guarigione il paziente ha sempre portato un provvisorio fisso.
Al temine di questo periodo è stato consegnato il lavoro definitivo: il paziente è rimasto soddisfatto e noi di conseguenza con lui.
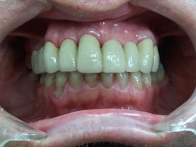
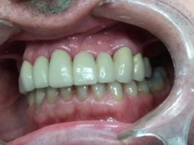
DOPO
