Impianti in zona estetica
Il paziente è arrivato alla nostra attenzione con problemi gengivali ed elevata mobilità dei denti frontali inferiori, che li rendeva purtroppo non più recuperabili.
Dopo le estrazioni,abbiamo inserito 3 impianti ai lati dei 2 già presenti.
PRIMA
Dall'inizio del trattamento alla consegna del lavoro definitivo il paziente ha sempre utilizzato un provvisorio fisso.
Durante la guarigione è stata eseguita anche una seduta di sbiancamento professionale.
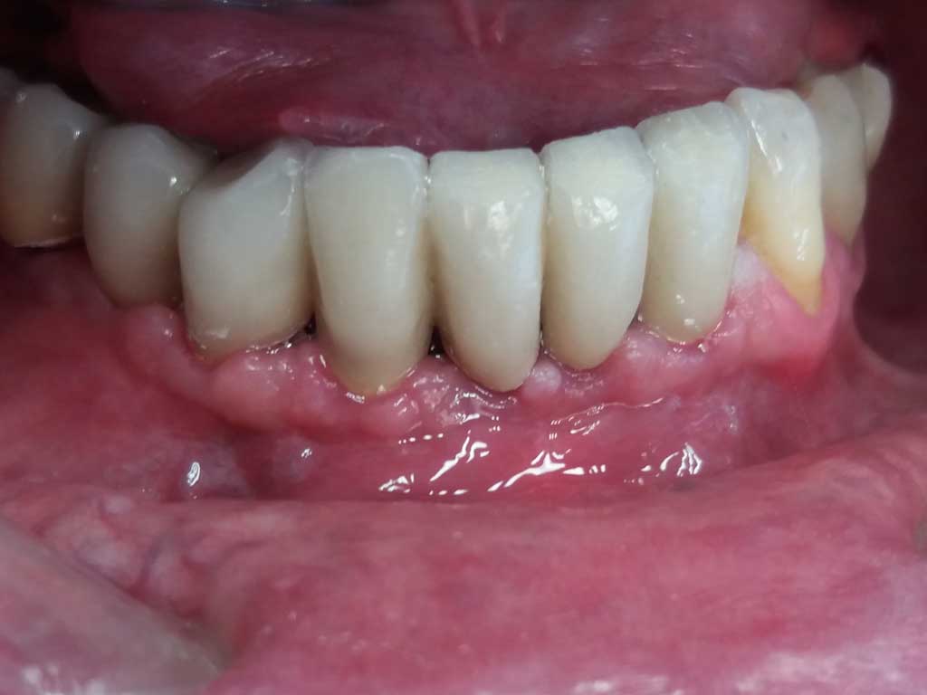
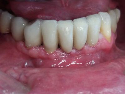
A gengiva completamente guarita , dopo 3 mesi circa dall'inserimento degli impianti, è stato consegnato il lavoro definitivo.
Il paziente è rimasto molto soddisfatto e per noi questa è la cosa più importante.
DOPO
